What are Adolescent Elbow Injuries?
Adolescents are defined as individuals in the age group of 10 to 19 years. Adolescent elbow injuries are injuries that occur in children between 10 and 19 years of age most commonly during sports and exercises. These injuries may result from accidents, poor training practices, use of improper protective gear, lack of conditioning, and insufficient warm-up and stretching. Adolescent elbow injuries may be either acute (sprains, fractures, tears) or chronic (tendinitis, overuse injury) injuries.
Anatomy of the Elbow
The elbow is a complex hinge joint formed by the articulation of three bones - the humerus, radius, and ulna. The upper arm bone or humerus connects the shoulder to the elbow forming the upper portion of the hinge joint. The lower arm consists of two bones, the radius and the ulna. These bones connect the wrist to the elbow forming the lower portion of the hinge joint. The elbow is held in place with the support of various soft tissues including cartilage, tendons, ligaments, muscles, nerves, blood vessels, and bursae.
Types of Adolescent Elbow Injuries
Common types of adolescent elbow injuries include:
- Ligament Injuries: Ligaments are bands of tough elastic tissue around your joints. They connect one bone to another. Ligaments are present in your knees, ankles, shoulders, elbows, and other joints. Any injury to the ligament is referred to as a sprain.
- Tendon or Muscle Injuries: Tendons are powerful fibrous cords that connect muscle to bone. When you overstretch a tendon, it can rupture (tear) completely or partially. This rupturing of the tendon due to overstretching is known as a tendon injury.
- Fractures and Dislocations: A fracture is a break in the continuity of a bone. Dislocation refers to the separation of two bones where they connect at a joint. Fractures of bones and dislocation of ball and socket joints such as those noted in the shoulder are significant traumas that are extremely painful and require immediate medical attention.
- Injuries of the Bone Growth Plate: The bony growth plates are tissues developing at the end of long bones such as bones of the arms and legs in children and adolescents. The growth plate solidifies into solid bone once the child has attained complete growth. Any injury to the growth plate can impact the normal bone development of children.
Signs and Symptoms of Adolescent Elbow Injuries
Some of the common signs and symptoms of adolescent elbow injuries include:
- Pain
- Swelling
- Stiffness
- Bruising
- Bleeding
- Numbness
- Cuts and abrasions
- Fracture
- Joint instability
- Inability to bear weight on the injured area
Common Adolescent Elbow Injuries
Most of the common adolescent elbow injuries are soft tissue in nature and are related to the nerves, ligaments, tendons, and muscles that connect the elbow joint, provide stability to the elbow, and control hand/wrist motion. Some of the common adolescent elbow injuries include:
- Little League Elbow: Little league elbow, also called medial apophysitis, is an overuse condition that occurs when there is overstress or injury to the inside portion of the elbow. It is commonly seen in children involved in sports activities that require repetitive throwing such as baseball.
- Tennis Elbow/Golfer’s Elbow: Tennis elbow is a common name for the elbow condition lateral epicondylitis. It is an overuse injury that causes inflammation and microtears of the tendons that attach to the lateral epicondyle of the elbow. Golfer’s elbow, also called medial epicondylitis, is a painful condition occurring from repeated muscle contractions in the forearm that leads to inflammation and microtears in the tendons that attach to the medial epicondyle of the elbow. Tennis elbow and golfer’s elbow are similar, except that golfer’s elbow occurs on the inside of the elbow and tennis elbow occurs on the outside of the elbow. Both conditions are a type of tendonitis - inflammation of the tendons.
- Elbow (olecranon) bursitis: The elbow contains a large, curved, pointy bone at the back called the olecranon, which is covered by the olecranon bursa, a small fluid-filled sac that allows smooth movement between the bone and overlying skin. Inflammation of the olecranon bursa leads to a condition called olecranon bursitis.
- Elbow Sprain: An elbow sprain is an injury to the soft tissues of the elbow. It is caused due to stretching or tearing (partial or full) of the ligaments that support the elbow joint.
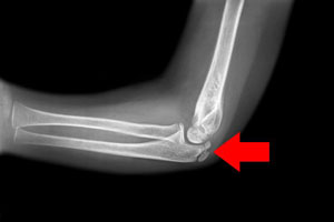
- Elbow Fracture: A fracture is a common injury to the elbow. Elbow fractures may occur from trauma, resulting from various reasons: a fall on an outstretched arm, a direct blow to the elbow, or an abnormal twist to the joint beyond its functional limit. Common elbow fractures include radial head fractures, distal humerus fractures, and olecranon fractures.
- Elbow Dislocation: Elbow dislocation occurs when the bones that make up the joint are forced out of alignment. Elbow dislocations usually occur when you fall onto an outstretched hand during a sporting accident. It can also occur from a traumatic injury such as a motor vehicle accident.
- Cubital Tunnel Syndrome (Ulnar Nerve Entrapment/Irritation): The ulnar nerve travels down the back of the elbow behind a bony bump called the medial epicondyle, and through a passageway called the cubital tunnel. The cubital tunnel is a narrow passageway on the inside of the elbow formed by bone, muscle, and ligaments. The roof of the cubital tunnel is covered with a soft tissue called fascia. When the elbow is bent, the ulnar nerve can stretch and catch on the bony bump. When the ulnar nerve is compressed or entrapped, the nerve can tear and become inflamed, leading to cubital tunnel syndrome.
Diagnosis of Adolescent Elbow Injuries
Adolescent elbow injuries are diagnosed with a detailed medical review and thorough physical examination. Your doctor may also order certain imaging studies such as X-rays, MRI, and CT scans for a detailed evaluation of damage to bones and soft tissues of the elbow joint and to confirm the diagnosis.
Treatment for Adolescent Elbow Injuries
The most common treatment recommended for adolescent elbow injuries is rest, ice, compression, and elevation (RICE). The RICE method needs to be followed immediately after injury to relieve pain and inflammation and should be continued for at least 48 hours.
- Rest: You should take rest from sports, exercises, or daily activities as needed.
- Ice: Apply an ice pack over the injured area for 20 minutes at a time. This should be done four to eight times a day. A cold pack, ice bag, or plastic bag filled with crushed ice and wrapped in a towel can be used.
- Compression: Compress the injured area with elastic wraps, special boots, air casts, and splints to reduce swelling.
- Elevation: Keep the injured area elevated on a pillow, above the level of the heart to help decrease swelling.
Your doctor may recommend other treatments to help your elbow injury heal. These include:
- Non-steroidal anti-inflammatory drugs (NSAIDs): NSAIDs such as aspirin and ibuprofen can be taken to reduce swelling and pain.
- Immobilization: Immobilization is minimizing or eliminating the movement of the injured area to prevent further damage and promote healing. Casting and splinting are the commonly rendered non-surgical treatment options for injuries related to the bones and soft tissues (muscles, tendons, ligaments). It helps to stabilize fractures and reduce pain, swelling, and muscle spasms.
- Rehabilitation: Rehabilitation involves exercises that get the injured area back to normal condition. Exercise starts with gentle range-of-motion exercises followed by stretching and strengthening exercises.
- Other therapies: Other common therapies that help in the healing of elbow injuries include cold packs or cryotherapy, heat packs or thermotherapy, massage, and platelet-rich plasma (PRP) injections.
- Surgery: Surgery is the last resort for the management of adolescent elbow injuries and is indicated only if conservative techniques are not helpful. Surgery is performed to repair torn tendons and ligaments or to realign broken bones. Your surgeon may recommend a minimally invasive arthroscopic procedure or an open technique with a larger incision to treat your elbow injuries.
Prevention of Adolescent Elbow Injuries
Some of the measures that should be followed to prevent adolescent elbow injuries include:
- Follow an exercise program to strengthen elbow muscles.
- Gradually increase your exercise level and avoid overdoing the exercise.
- Ensure that you wear properly-fitted protective gear such as elbow guards or pads before playing any sports activity. This will help to reduce the chances of injury.
- Make sure that you follow warm-up and cool-down exercises before and after the sports activity. Exercise will help to stretch the muscles, increase flexibility, and reduce soft tissue injuries.
- Maintain a healthy diet to nourish your bones and muscles, and if needed, add a supplement such as vitamin D to keep your bones strong.
- Avoid playing when you are injured or tired.
- Learn all the rules of the game you are participating in.
- Ensure that you are physically fit to play the sport.
If you wish to be advised on the most appropriate treatment, please call to schedule an appointment or click to request an appointment online.





